Equine asthma is a growing concern for horse owners and veterinarians alike. Much like its human counterpart, asthma in horses can significantly affect respiratory health, athletic performance, and overall quality of life. As awareness increases and research evolves, it’s essential to stay informed about equine asthma, its causes, symptoms, and available treatment options. At Signature Equine Hospital, we’re committed to helping you understand and manage this condition for the health and comfort of your horse.
In this post, we’ll break down the causes, symptoms, and treatments of equine asthma to help horse owners make informed decisions with their trusted veterinarian.
Causes of Equine Asthma
Equine asthma is primarily caused by inhalation of environmental allergens and irritants, which trigger an inflammatory response in the airways. These triggers can include:
- Dusty bedding or hay
- Mold spores
- Ammonia from urine-soaked stalls
- Pollen
- Air pollutants, such as smoke or exhaust
One of the most common forms of asthma in horses is Recurrent Airway Obstruction (RAO), formerly known as heaves. Another milder form, known as Inflammatory Airway Disease (IAD), often affects young performance horses and may go unnoticed until training intensity increases.
Environmental management plays a critical role in preventing the onset of asthma in horses. Poor ventilation in barns and exposure to dusty environments significantly increase the risk. Seasonal changes, especially the shift to dry, indoor conditions in winter or the transition to pollinated pastures in spring, can also contribute to the problem.
Symptoms of Equine Asthma
Asthma in horses can manifest in subtle or severe ways, depending on the type and stage of the disease. Some horses may show mild performance issues, while others might exhibit chronic respiratory distress. Here are common symptoms to look for:
- Chronic coughing, especially during or after exercise
- Nasal discharge, often clear or slightly cloudy
- Increased respiratory rate or effort
- Labored breathing, sometimes with a noticeable abdominal push
- Reduced stamina or exercise intolerance
- Flared nostrils and visible heaving during breathing
- Weight loss in severe cases
These signs are especially concerning in performance horses, where optimal lung function is essential. If your horse exhibits any of these symptoms, it’s important to consult with a veterinarian promptly. Early diagnosis can help reduce long-term damage and improve quality of life.
Diagnosing Asthma in the Horse
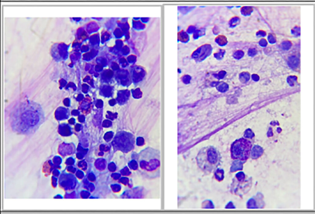
Airway endoscopy and bronchoalveolar lavage (BAL) are critical diagnostic tools in the evaluation of equine asthma, allowing for direct visualization and cytologic assessment of the lower airways.
Airway endoscopy provides valuable real-time information about the condition of the tracheobronchial tree. In horses with asthma, endoscopic findings may include excessive tracheal mucus, airway hyperemia, mucosal edema, and blunted carinae. Mucus accumulation is one of the hallmark features of equine asthma and can be scored using tracheal (0–5) and bronchial (0–3) grading systems, although these are somewhat subjective. Endoscopy also enables collection of tracheal wash samples, which can aid in ruling out infectious lower airway diseases but are not sufficient alone to confirm asthma.
Bronchoalveolar lavage (BAL) is the gold standard for identifying and characterizing lower airway inflammation. The BAL procedure involves instillation and retrieval of sterile fluid from a distal bronchus, providing a sample representative of alveolar and small airway lining cells. Cytologic analysis distinguishes between phenotypes of asthma:
- Severe asthma is typically associated with marked neutrophilic inflammation.
- Mild to moderate asthma may demonstrate neutrophilic, eosinophilic, and/or mastocytic inflammation.
Below we have attached Photomicrographs from a BAL we conducted here at Signature Equine Hospital on a young barrel horse. The proportions of neutrophils (8.4%; normal <5%) and eosinophils (4.2%; normal <1%) are mildly increased. Cytology is consistent with mild to moderate asthma (IAD/inflammatory airway disease).

Treatment Options for Asthma in Horses
Our veterinarians take a multi-faceted approach to treating asthma in horses. The goal is to reduce airway inflammation, improve breathing comfort, and prevent recurrence of the condition.
Treatment plans often include:
- Environmental modifications: The first and most crucial step in treating equine asthma is minimizing exposure to airborne irritants. This might involve:
- Switching to dust-free or steamed hay
- Improving barn ventilation
- Using low-dust bedding
- Turning out horses as much as possible
- Medical management: Depending on severity, your veterinarian may recommend:
- Corticosteroids (oral, injectable, or inhaled) to reduce inflammation
- Bronchodilators to open airways
- Nebulization therapy, which delivers medication directly into the lungs for faster relief
- Monitoring and follow-up care: Long-term management is often necessary, especially for horses with recurrent or chronic symptoms. Regular check-ups help fine-tune treatment and monitor lung health.
Helping Your Horse Breathe Easier
Equine asthma doesn’t have to mean the end of your horse’s athletic career or comfort. With proper diagnosis, environmental control, and veterinary guidance, many horses with asthma live full, active lives. Staying informed and proactive is the best way to manage this chronic condition.
Our experienced team of veterinarians is here to support you and your horse every step of the way. If you suspect your horse is struggling with breathing issues or want to learn more about asthma in horses, we’re here to help.
Take the Next Step Toward Respiratory Health
Don’t wait for mild symptoms to turn into serious health issues. Contact Signature Equine Hospital today to schedule a respiratory evaluation or learn more about our advanced asthma treatments.